Ecografía Pediátrica
Precisa, sin Radiación y sin Esperas
Realizada por médico radiólogo especialista en imágenes pediátricas



















Sabemos lo importante que es la salud de tu bebé. Por eso, en ECOdiagnóstico, el Dr. Juan Pablo Sánchez —médico radiólogo con formación nacional e internacional— ofrece ecografías pediátricas con un enfoque humano, preciso y especializado.
Desde estudios de caderas, abdomen o transfontanelar, hasta evaluaciones más específicas, usamos equipos de última generación para brindarte tranquilidad y resultados confiables.
Atendemos en un ambiente cálido, pensado para que tú y tu pequeño se sientan seguros y acompañados
Sabemos lo importante que es la salud de tu bebé. Por eso, en ECOdiagnóstico, el Dr. Juan Pablo Sánchez —médico radiólogo con formación nacional e internacional— ofrece ecografías pediátricas con un enfoque humano, preciso y especializado. Desde estudios de caderas, abdomen o transfontanelar, hasta evaluaciones más específicas, usamos equipos de última generación para brindarte tranquilidad y resultados confiables. Atendemos en un ambiente cálido, pensado para que tú y tu pequeño se sientan seguros y acompañados.

Ecografia abdominal
Estudio no invasivo que permite observar los órganos del abdomen, como el hígado, riñones, intestinos, vejiga, etc. Es útil para detectar infecciones, malformaciones o dolores sin usar radiación ni dolor.

Ecografia pélvica
Permite evaluar los órganos de la pelvis, como la vejiga y, en niñas, el útero y ovarios. Se utiliza ante dolores bajos, problemas urinarios o descarte de pubertad precoz.

Ecografia de caderas
Estudio esencial en bebés para detectar displasia del desarrollo de cadera. Es indolora y se realiza idealmente en los primeros meses de vida como parte del control del niño sano.

Ecografía Transfontanelar
Se realiza en bebés a través de la fontanela (mollera) para evaluar el cerebro. Ayuda a detectar hemorragias, hidrocefalia o alteraciones neurológicas en recién nacidos.

Ecografia de Canal Medular
Explora la columna y médula espinal en lactantes. Se usa para descartar anomalías como médula anclada o malformaciones congénitas como espina bifida.

Ecografia Doppler de Partes Blandas
Permite evaluar masas, inflamaciones o infecciones en músculos y tejidos, observando además el flujo sanguíneo con Doppler para obtener un diagnóstico más preciso.

Ecografia Testicular
Estudia los testículos y el escroto en casos de dolor, inflamación o sospecha de torsión testicular o testiculo no descendido. Es rápida y segura, fundamental ante urgencias u otras molestias genitales.

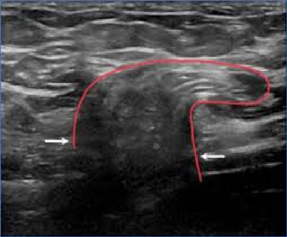
Ecografia de píloro
Indicada en bebés con vómitos persistentes. Evalúa el píloro (parte final del estómago) para diagnosticar estenosis hipertrófica, una causa frecuente de vómitos explosivos en los primeros días de vida.

Ecografia Articular
Explora partes blandas en articulaciones como rodillas, codos u hombros en busca de inflamación o lesiones, asi como lesiones en partes blandas como hernias.








